Ультрозвуковая диагностика стельности.
Ультразвуковое исследование (эхография, сонография) относится к неионизирующим методам исследования. Благодаря простоте выполнения, безвредности, высокой информативности оно получило широкое распространение в клинической практике.
В ряде случаев ультразвукового исследования бывает достаточно для установления диагноза, в других — ультразвук используется наряду с прочими (рентгенологическими, радионуклидными) методами.
В зависимости от вида используемого ультразвукового излучателя и характера обработки отраженных сигналов различают одномерный (А- и М-методы) и двухмерный (В-метод) способы анализа структур. При этом каждая точка соответствует принятому датчиком отраженному эхосигналу, а ее место определяется глубиной расположения отражающей сигнал структуры. В современных приборах, устроенных по принципу «серой шкалы», яркость каждой точки изображения зависит от интенсивности отраженного сигнала, т.е. от акустического сопротивления тканей этого участка. Ультразвуковые волны легко распространяются в упругих средах и отражаются на границе различных слоев в зависимости от изменения акустического сопротивления среды. Чем больше акустическое сопротивление исследуемой ткани, тем интенсивнее она отражает ультразвуковые сигналы, тем светлее исследуемый участок выглядит на сканограмме. Отражение участком ткани ультразвуковых сигналов сильнее, чем в норме, определяют терминами «повышенная эхогенность», или «усиленная эхоструктура». Наибольшей эхогенностью обладают конкременты желчных путей, поджелудочной железы, почек и др. Их акустическое сопротивление может быть настолько велико, что они совершенно не пропускают ультразвуковые сигналы, полностью отражая их. На сканограммах такие образования имеют белый цвет, а позади них располагается черного цвета «акустическая дорожка», или тень конкремента, — зона, в которую сигналы не поступают. Жидкость (например, заполняющая кисты), обладающая низким акустическим сопротивлением, отражает эхосигналы в небольшой степени. Такие зоны с пониженной эхогенностью выглядят на сканограммах темными. Поскольку ткани человеческого организма (за исключением костной и легочной) содержат большое количество воды, они легко проводят ультразвуковые волны и являются хорошим объектом для исследования с помощью ультразвука. Газовая среда не проводит ультразвуковые волны. Этим объясняется малая эффективность использования ультразвука при исследовании легких. Главным элементом ультразвукового прибора является преобразователь (датчик), который с помощью пьезоэлектрического кристалла преобразует электрический сигнал в звук высокой частоты (0,5—15 МГц). Этот же кристалл используется для приема отраженных луковых волн и их преобразования в электрические сигналы.
Сканирование может быть линейным и секторным. Использование датчика с высокой скоростью сканирования (16—30 кадров в секунду) позволяет регистрировать движения органов в естественном временном режиме (реальном масштабе времени) В современных диагностических ультразвуковых приборах используются полутоновые дисплеи, на которых яркость световой точки пропорциональна интенсивности отраженного сигнала. Применяют также аппараты, снабженные ЭВМ, которые позволяют производить сканирование объекта с разных направлений (ультразвуковая компьютерная томография). Использование эффекта Допплера, заключающегося в изменении частоты отраженной ультразвуковой волны пропорционально скорости движения исследуемого объекта, позволило разработать приборы для исследования направления и скорости кровотока (допплерография).
Минимальная разрешающая способность современных ультразвуковых приборов, при которых исследуемые объекты различаются на экране как отдельные структуры, определяется расстоянием 1—2 мм. Глубина проникновения ультразвука в ткани организма обратно пропорциональна его частоте. С учетом этого созданы специализированные приборы, применяемые в офтальмологии, гинекологии и др.
Воздействие ультразвука на ткани организма.
Мощный, особенно низкочастотный ультразвук способен механически разрывать клеточные мембраны одноклеточных организмов, что приводит к разрыву и гибели клеток. Облучение ультразвуком может приводит к нарушению внутреннего состава клеток и изменению концентраций веществ, растворенных в цитоплазме. Ультразвук воздействуя на жидкость вокруг микроорганизмов, создает колебания приводящие к изменению проницаемости клетки. При длительном воздействии ультразвука на простейших могут произойти необратимые изменения в клетке. Аналогичное влияние ультразвук может оказывать на клетки крови.
На клеточные популяции (ткани, органы) ультразвуковое облучение влияет замедляя рост и деление клетки, но ткани организма способны компенсировать негативное воздействие увеличением регенерации.
В современных приборах характеристики лучей (интенсивность светопотока (I=Вт/см 2 ), частота (f=Гц)) таковы, чтобы минимизировать негативное влияние на ткани.
Ультразвуковые волны являются механическими по своей природе, так как в основе их лежит смещение частиц упругой среды от точки равновесия. За счет упругости тканевых элеметов происходит передача звуковой энергии. Распространение зависит от упругости и плотности ткани. Чем плотнее ткань, тем медленнее должны распростаняться ультразвуковые волны.
Плотные ткани поглощают часть ультразвуковых волн в результате обратные отраженные волны будут слабыми и на мониторе сканеры будут видны белые точки от каждого элемента органа в зависимости от плотности. Так называемые гиперэхогенные зоны.
Жидкости напротив минимально поглощают волны и отражения не происходит. На мониторе видны черные полости – гипоэхогенные зоны.
Использование ультразвука в медицине:
В зависимости от интенсивности, частоты и времени воздействия применяют для:
1. УЗ аутогемотерапия – изменяя свойства крови воздействуют на защитные системы организма, активируя их деятельность. I = 0,3-0,6 Вт/см2, f=1 Мгц, t= 3-5 мин.
2. УЗ рефлектотерапия – воздействие волн на биологически активные точки человека I = 0,05-0,2 Вт/см2
3. Лечение заболеваний опорно-двигательного аппарата: восстановление связок и сухожилий, обезболивание, фонофорез (введение лекарственных веществ без повреждения кожи)
4. В хирургии: разрезание и удаление тканей путем расплавления тканей, прижигание сосудов, I = 5-2000 Вт/см2
5. Липотрипсия – разрушение камней в почках и желчном пузыре.
6. Стимулирование (I = 0,1-1 Вт/см2, t= 1-3 мин.) и подавление (I = 4 Вт/см2, t= 10 мин) воспроизводительных функций животных. Полное обеспложивание : I >5 Вт/см2
7. УЗ терапия пораженных тканей: заживление ран, лечение абсцессов, обострение фурункулеза I = 0,1-1 Вт/см2
8. Стимуляция секреции молока I = 1 Вт/см2, лечение мастита I = 0,4-0,6 Вт/см2
9. В офтальмологии: заживление ран, фонофорез.
10. Влияние на внутренние органы: положительное влияние на воспалительные процессы в печени I = 0,3-0,6 Вт/см2, t=5…10 мин.; стимуляция моторной функции мочевого пузыря I = 0,2-0,4 Вт/см2, лечение эндокринных заболеваний: нормализация секреторной функции, лечение язвенных поражений I = 0,2-0,6 Вт/см2
11. Положительное влияние на иммунитет (f=0,05 Мгц)
12. Лечение опухолей, наиболее спорно, так как влияние высокой интенсивности I = 1000 Вт/см2 может привести как к интоксикации организма, так и разрушению опухолевых клеток, а применение низких интенсивностей для мобилизации средств иммунитета может привести к повышению роста опухоли.
13. УЗИ диагностика внутренних органов. Пожалуй, наиболее важное назначение. В сочетании с эффектом Доплера дает ясное представление о состоянии органов.
Плюсы ультразвукового исследования:
· Универсальность, информативность
· Мобильность, быстрота выполнения
· Нетравматичный характер метода
· Отсутствие лучевой нагрузки
· Исследование в режиме реального времени, непосредственно перед пациентом
Минусы:
· Необходимость спец подготовки
· Высокая цена аппарата
· Ограниченная глубина проникновения в зависимости от толщины и плотности ткани.
Режимы исследования:
1. А-режим режим отображения амплитуд эхо-сигналов в зависимости от глубины в виде эхограммы (графика).
2. В- режим – режим получения двухмерного отображения эхосигналов в виде отметок, яркость которых пропорциональна амплитуде эхо-сигналов.
3. М-режим – режим отображения акустической картины, отображающей изменение подвижных частей во времени.
4. Multibeam или мультилуч – технология формирования изображения не одним а несколькими приемными элементами. Достигается более высокая точность – фильтруются составляющие, вызванные многократным отражением, нелинейным ослаблением луча и пр.
5. Tissue Harmonic Imaging (THITM, тканевая или 2-я гармоника) – технология выделения гармонической составляющей колебаний внутренних органов, вызванных прохождением сквозь тело базового ультразвукового импульса. Полезным считается сигнал, полученный при вычитании базовой составляющей из отраженного сигнала. Данная технология применяется при исследовании органов интенсивно поглощающих первую гармонику и предполагает применение широкополосных датчиков и приемного тракта высокой чувствительности.
6. Pulse Inversion Harmonic или тканевая инверсная гармоника – технология выделения гармонической составляющей колебаний внутренних органов, вызванных прохождением сквозь тело базового и инверсного ультразвукового импульсов. Полезным считается сигнал, полученный в результате сложения базовой и инверсной составляющих отраженного сигнала. Инверсная гармоника по сравнению с прямой гармоникой обеспечивает лучшее качество поскольку оба сигнала проходят через ткани и в итоге суммируются, что обеспечивает фильтрацию шумов. Целесообразно прменение данной технологии при исследовании движущихся тканей (сердечно-сосудистая система) и плоховизуализируемых (из-за высокой акустической плотности), таких как опухоли.
7. Импульсный допплер (Pulsed Wave или PW) применяется для количественной оценки кровотока в сосудах. Режим основан на принципе изменения длины волны при оражении от движущегося объекта. Позволяет оценить направление и интенсивность кровотока в сосудах и сердце.
8. Цветовой доплер (Color Doppler) выделение на эхограмме цветом (цветовое картирование) характера кровотока. Кровоток от датчика окрашивается в синим цветом, а к датчику – кранным. Применяется цветовой доплер для исследования кровотока в сосудах на эхографии.
9. Энергетический допплер (power Doppler) качественная оценка низкоскоростного кровотока при исследовании сети мелких сосудов. На эхограмме отображается в оранжевой палитре, более яркие оттенки свидетельствуют о большей скорости кровотока. Не дает предсавление о направлении потока.
10. Live 3D – аппаратно-программный комплекс, позволяющий проводить трехмерное УЗИ в режиме реального времени (4D), получение трехмерного изображения в режиме серой шкалы благодаря использованию трехмерных датчиков, а также цветного изображения при сочетании с цветовым и энергетическим допплером.
11. MSVTM (Multi-slice View или мультислайсинг) позволяет просматривать сразу несколько двухмерных срезов полученных при трехмерном сканировании. Сбор информации полученной при трехмерном сканировании и дальнейшем разделении ее на слои с определенным шагом в разных плоскостях. Так называемая УЗ томография аналог КТ и МРТ.
12. ElastoScan (эластография) визуализация разных участков с неоднородной консистенцией в виде разных проявлений. При этом исследовании прилагают давление на ткани, вызывая разное сокращение тканей от силы упругости. Передовая разработка в диагностике ранних стадий рака, когда опухоль визуализируется как патология лишь по показателям упругости.
Список литературы:
Применение ультразвука в медицине: Физические основы/ К. Хилл, 1989
Акопян В.Б., Ершов Ю.А. - Основы взаимодействия ультразвука с биологическими объектами. М, 2005.
Абдулов Р.Я, Атьков О.Ю. , Соболь Ю.С. Атлас ультразвуковой диагностики в 2 т., Т.1.- Харьков, Прапор.- 1993. - 112 с.
Lorensen, W. E., Cline, H. E.: Marching cubes: A high resolution 3D surface construction algorithm. Comput. Graphics 21, 4 (1987), 163-169.
http://www.ob-ultrasound.net/history1.html
Незаменимым источником информации для медицины и ветеринарного врача в частности о состоянии половых органов коров является ультразвуковое исследование. Ультразвуковое исследование (УЗИ) позволяет определить норму и патологию, стадию полового цикла, диагностировать стельность. Определить оптимальное время для осеменения и пр.
По своей природе наиболее четко мир человек представляет глазами, органами зрения. Сложно жить без зрения и сложно обмануть зрение. Наиболее четкую картину человек получает суммируя данные многих органов чувств, в первую очередь глаз, в одно объективное ощущение.
На протяжение многих десятилетий в животноводстве единственным широко применяемым методом диагностики стельности у животных являлась мануальная ректальная пальпация. У данного метода много положительных сторон: простота исполнения, дешевизна, точность определения на поздних сроках, но главным недостатком являлось субъективность в ощущениях, не дающая точной картины состояния половых органов, в частности жизнеспособности плода. Возможно определить наличие плода в матке, но вот определить жизнеспособность его затруднительно (ну конечно на поздних сроках, когда плод движется это не составляет труда), вторым недостатком является запоздалая относительно узи диагностика стельности.
Научиться ректальной пальпации сложнее, чем диагностике с помощью узи сканера.
Легче понять патологию когда ты видишь а не чувствуешь. Тем более есть патологии, которые рукой не прощупать, а необходимо как бы «вскрыть» ее в органе.
C помощью ультрозвукового сканера можно наблюдать за изменениями в половых органах коровы на протяжении всего полового цикла.
Нулевым днем принято считать день овуляции, когда фолликул, в котором находится яйцеклетка, лопается и последняя выходит в яйцеводы. Визуально наблюдается ткань яичника с овуляционной ямкой, возможно увидеть остатки стенки фолликула с фолликулярным эпителием. Полость фолликула заполняется кровью, образуется сгусток и так называемое геморрагическое тело. Визуально оно не отличается от ткани яичника, но пальпаторно можно определить, что оно значительно мягче яичника.
В последствие геморрагическое тело прорастает фолликулярным эпителием, окутывающим каждую клеточку будующего образования - желтого тела. Образуются перегородки и перерождения ткани в лютеальную. Визуально видна зернистость лютеальной ткани (клеточки окутанные перегородками с кровеносными сосудами, питающими и выполняющими роль переносчика гормонов образующихся здесь(прогестагенов)).

Пальпаторно в зависимости от стадии лютеинизации от полости наподобие фолликула с плотной «головкой» до плотного «грибка» возвышающегося над тканью яичника. Не всегда желтое тело возвышаться над тканью, а может прорастать внутрь яичника и пальпаторно не ощущаться.
В развитии желтого тела может быть одна особенность, которую иностранные специалисты называют лакуной, а иногда кистой желтого тела. Лакуна – это полость чаще в центре желтого тела наполненная лютеальной жидкостью.

Иногда лакуна может находиться с краю желтого тела, но обязательно видна связь с желтым телом и стенка выстлана лютеальными клетками. В отличие от фолликула, который не связан с желтым телом, лакуна с ним объединена в одно образование. Лакуна не считается патологией если она меньше 1/3 от размера желтого тела.
непатологичная лакуна

патологичная лакуна

Желтое тело размером чаще около 1,5 см. Если размер больше 3 см., то необходимо более детально исследовать яичник и желтое на предмет патологи желтого тела. В частности лютеальные кисты довольно частые патологии.
Фолликулы образуются около 60 дней. После овуляции в яичнике уже есть мелкие не активные фолликулы. Их активность подавляется выделяемым желтым телом прогестероном. Эти фолликулы являются проявлением первой фолликулярной волны.
Визуально можно видеть множество мелких фолликулов и достаточно большое желтое тело. Охоту такие коровы не проявляют. Через 11 дней маткой выделяются простогландины F2?, которые воздействую на желтое тело разрушая его. Это происходит только если не произошло плодотворного осеменения. Происходит прекращение выработки прогестерона и как следствие снятие прогестеронового блока, что приводит к образованию второй фолликулярной волны и образованию доминантного (крупного полностью функционирующего) фолликула.

Растущий фолликул выделяет гормоны, приводящие корову в состояние охоты. Визуально фолликул виден как полость заполненная фолликулярной жидкостью с тонкой стенкой (чем ближе овуляция тем тоньше), чаще выступающая над поверхностью яичника. Пальтаторно ощущается как флуктуирующий шарик. При приближении овуляции в стенке фолликула можно наблюдать включение белых (гиперэхогенных зон) кристаллов.
По ряду не совсем доказанных причин фолликул развитие фолликула может остановиться. Чаще это происходит в четвертый-шестой неактивный цикл, т. е. когда наблюдаются пропуски охоты либо не осеменение по ряду причин. Фоликулы мелкие (меньше 0,8 см), не изменяемые в размере на протяжении нескольких дней. Причем на такие фолликулы сложно повлиять даже дорогостоящими препаратами (фертагил, гонавет, фоллигон), поэтому не рекомендуют запускать схему стимуляции охоты при обнаружении данных мелких, плохоразвитых фолликулов) Стенка его вначале утолщается в результате образуется мелкая толстостенная фолликулярная киста (чаще несколько кист – пиликистоз), она гормоноактивна, то есть корова находится в охоте на протяжении долгого времени. Единственной особенностью является характер слизи – она жидкая и скудна по объему, но выделяется почти постоянно (на период гормональной активности кисты).

Со временем стенка кисты истончается и накапливается все больше фолликулярной жидкости. Киста становится малоактивной в отношении гормонов, увеличивается в объеме и может занимать весь яичник. Корова проявляет признаки возбуждения, но рефлексы и феномены (течка, половое возбуждение, охота) угнетены (овуляции не будет наблюдаться вообще). В дальнейшем стенка кисты под влиянием лютеинизирующего гормона (концентрация которого по видимому не может спровоцировать овуляцию) утолщается (больше 3 мм), прорастает лютеальной тканью и киста становиться лютеальной (лютеиновой). Киста становиться не гормоноактивной и у коровы наблюдается анофродизия на протяжении долгого времени.

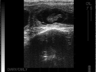
Определение стельности.
Обосновано применение ультразвука в качестве диагностики стельности с 30-ого дня. Почему нельзя раньше? Ошибочно читать, что просто не увидишь плода. Плод виден и на 25-й день. Есть две причины почему не рекомендуют раньше. Первая – это возможный натуральный аборт (на сроке 25-30 дней – максимальная предрасположенность к этому) и специалист ошибочно ведет корову к отелу как стельную. Требуется перепроверка. Конечно, перепроверять необходимо и при исследовании на более поздних сроках, но вероятность аборта выше на раннем сроке (до 30 дней). Вторая причина – это инструментальный аборт. Вероятность его минимальна, но все же существует. Дело в том, что прикрепление эмбриона к стенке матки происходит на 25-28 день. И манипуляции с маткой (особенно без опыта и осторожности) чреваты абортом. Подчеркну, что не ультразвук вызывает аборт (разумеется при нормальной интенсивности, частоте луча), а именно манипуляции.
В зависимости от размера эмбриона можно определить его примерный возраст:
28 дней:

30 дней – 1 см

35 дней – 1,5 см

40 дней:

40 дней – 2,0 см

45 дней – 2,5 см.

50 дней:

55дней:

С 3-ого месяца стельности амниотическая жидкость мутнеет и визуализируется зернистость.
На поздних сроках (начиная с 4-ого месяца) становятся отчетливо видны кателедоны. Кателедоны растут примерно 1 см в месяц.
Определение пола.
Начиная с 65-ого дня возможно определить полплода. Начиная с 45-ого дня происходит разделение зачатков генитального бугорка либо ближе к области хвоста каудально, либо краниально.











